
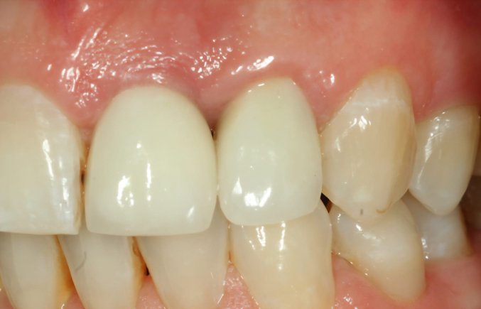
Dental implants offer one of the most natural and durable solutions for replacing missing teeth—restoring both function and aesthetics without compromising neighboring teeth.

Our comprehensive periodontal services focus on diagnosing and treating diseases affecting the gums and supporting structures of the teeth.

Dental implants offer one of the most natural and durable solutions for replacing missing teeth—restoring both function and aesthetics without compromising neighboring teeth.

When a tooth can no longer be saved due to extensive decay, trauma, or advanced gum disease, extraction may be the best option to protect your overall oral health.

One cosmetic concern we frequently treat in periodontal care is the “gummy smile”—when too much gum tissue shows while smiling. Less commonly,

At Potomac Periodontics and Implant Center, we offer IV therapy to make your treatment experience more comfortable, efficient, and supportive for more advanced procedures.

Laser technology has transformed how we treat periodontal disease and manage soft tissue. At our office, we use both Er:YAG and Nd:YAG diode lasers to treat infection, contour tissue, and support healing.

Platelet therapy harnesses the body’s natural healing abilities by using a concentrated form of the patient’s own blood—rich in platelets and growth factors—to enhance tissue regeneration and accelerate recovery.

A sinus lift, also known as sinus augmentation, is a specialized bone grafting procedure designed to increase the height of bone in the upper jaw (posterior maxilla) to allow for successful placement of dental implants.

At Potomac Perio-Implant Aesthetics Center, we specialize in advanced regenerative procedures that restore lost bone and support long-term implant success and natural aesthetics.

Surgically Accelerated Orthodontic Therapy—also known as SAOT or Periodontally Accelerated Osteogenic Orthodontics (PAOO)—is an advanced technique that combines selective periodontal surgery

We utilize salivary and genetic diagnostics to uncover the biological drivers behind periodontal disease.
See how our Rockville dental team turns dental concerns into confident smiles. Our before and after results highlight the difference professional, compassionate dentistry can make.
Whether you need preventive care, cosmetic dentistry, or restorative treatments, our Rockville dentists provide personalized solutions designed to keep your smile healthy and beautiful.

Beyond sedation, IV therapy enables fast, targeted delivery of antibiotics, anti-inflammatories, and pain medications.
Laser therapy aids healing and reduces inflammation in both surgical and non-surgical treatments.
Platelet therapy harnesses the body’s natural healing abilities by using a concentrated form of the patient’s own blood—rich in platelets and growth factors—to enhance tissue regeneration and accelerate recovery.
They are very professional in their treatment and words, and they make me feel welcomed every time I visit them in Rockville. They are awesome and more than amazing.
The staff was very pleasant and helpful. The dentist was thorough. My only concern was a very long wait to get in. Do visit them in Rockville
I needed a root canal treatment. The entire team made the treatment as comfortable as possible and took excellent care of my tooth and me. At every step, they were honest and explained very well to me what was going on. 5 stars!!
Common Causes of Bleeding Gums:
Gingivitis:
Inflammation of the gums due to plaque buildup, often reversible with improved oral hygiene.
Periodontitis:
An advanced stage of gum disease where the infection spreads below the gum line, potentially leading to bone loss.
Poor Oral Hygiene:
Inadequate brushing and flossing allow plaque to accumulate, irritating the gums.
Hormonal Changes:
Fluctuations during puberty, pregnancy, or menopause can make gums more sensitive.
Certain Medications:
Blood thinners can increase the risk of bleeding.
Underlying Medical Conditions:
Bleeding disorders, vitamin deficiencies (like C or K), or even some cancers (like leukemia) can cause bleeding gums.
Improve Oral Hygiene: Brush twice a day with a soft-bristled toothbrush and floss daily.
Consider Saltwater Rinses: Rinsing with warm salt water can help soothe and cleanse the gums.
See a Dentist: If bleeding persists or is accompanied by other symptoms (like swelling, redness, or pain), schedule a dental appointment.
Address Underlying Conditions: If a medical condition is identified as the cause, work with your healthcare provider to manage it.
Important Considerations:
Bleeding gums are not normal and should be addressed promptly.
Early intervention can prevent the progression of gum disease.
If you have any concerns about bleeding gums or suspect an underlying medical condition, seek professional advice.